PathoPic – image database / PathoPic ID 1265 - Lipofuszinose bei Phenacetinabusus

de
Diagnose
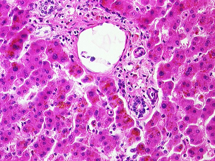
Lipofuszinose bei Phenacetinabusus
Diagnose Gruppe
Artefakt / Fremdkörper / Pigment
Topographie
Leber
Topographie Gruppe
Leber, Gallenwege, Pankreas
Beschreibung
Braunes Pigment in den Hepatozyten.
Zusatzbefund
Diffuse Ablagerungen von Lipofuszinpigment in der Leber.
Klinik
Phenacetinabusus.
Kommentar
Lipofuscinpigment kommt auch unabhängig von Phenacetinabusus im Alter vor. Makroskopisch braune Atrophie der Leber.
Bilder Typ
Histologie
Geschlecht
weiblich
Datum
Ersteintrag: 05.12.2001