PathoPic – image database / PathoPic ID 1259 - massive Lebernekrosen bei Halothanhepatitis

de
Diagnose
massive Lebernekrosen bei Halothanhepatitis
Diagnose Gruppe
Therapiefolgen
Topographie
Leber
Topographie Gruppe
Leber, Gallenwege, Pankreas
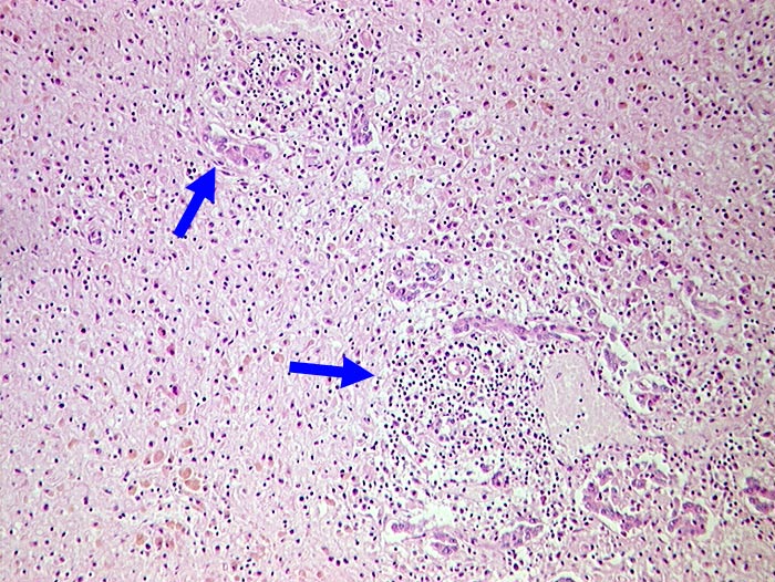
Beschreibung
Nekrosezonen mit zeroidbeladenen Makrophagen (gelbbraun). Zwei Portalfelder sind durch die Nekrosen nahe aneinander gerückt. In den Portalfeldern lymphozytäres Entzündungsinfiltrat und Ductulusproliferationen. Kein vitales Leberparenchym.
Klinik
Halothanhepatitis
Bilder Typ
Histologie
Geschlecht
weiblich
Datum
Ersteintrag: 05.12.2001