PathoPic – image database / PathoPic ID 1258 - massive Lebernekrosen bei Halothanhepatitis

de
Diagnose
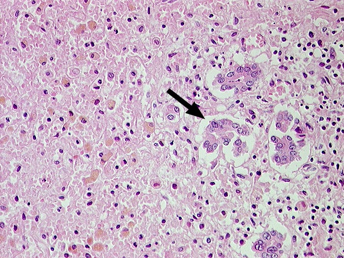
massive Lebernekrosen bei Halothanhepatitis
Diagnose Gruppe
Therapiefolgen
Topographie
Leber
Topographie Gruppe
Leber, Gallenwege, Pankreas
Beschreibung
Nekrosezone mit passiver Hyperämie und zeroidbeladenen Makrophagen (gelbbraun). Ductulusproliferate rechts im Bild.
Klinik
Halothanhepatitis
Bilder Typ
Histologie
Geschlecht
weiblich
Datum
Ersteintrag: 05.12.2001