PathoPic – image database / PathoPic ID 125 - Sjögren Syndrom, Parotis

de
Diagnose
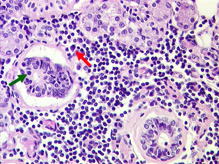
Sjögren Syndrom, Parotis
Diagnose Gruppe
Entzündung / Reparatur
Topographie
Parotis
Topographie Gruppe
Kopf & Hals, Sinnesorgane
Beschreibung
Entzündungsinfiltrat bestehend aus Lymphozyten und wenigen Plasmazellen. Einzelne Lymphozyten infiltrieren das Speicheldrüsenepithel.
Klinik
Sjögren Syndrom: St.n. Enukleation des linken Auges wegen spontaner Ruptur. St.n. Hornhautulzera.
Bilder Typ
Histologie
Alter
79
Geschlecht
unbekannt
Datum
Ersteintrag: 25.10.2001
Update: 21.12.2007