PathoPic – image database / PathoPic ID 1237 - Hepatozelluläres Karzinom : Ovarmetastase

de
Diagnose
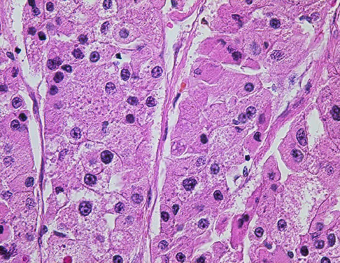
Hepatozelluläres Karzinom : Ovarmetastase
Diagnose Gruppe
maligner Tumor
Topographie
Ovar
Topographie Gruppe
Genitalorgane, weiblich
Beschreibung
Trabekulär angeordnete leberähnliche Tumorzellen mit nur geringen Kernatypien.
Zusatzbefund
Klarzellige und sarkomatoide Tumorareale.
Klinik
St.n. Lebertransplantation wegen Hepatozellulärem Karzinom bei Zirrhose und chronischer Hepatitis C vor 2 Jahren. Jetzt Metastasen von 12 und 14cm Durchmesser in beiden Ovarien.
Bilder Typ
Histologie
Alter
55
Geschlecht
unbekannt
Datum
Ersteintrag: 04.12.2001
Update: 10.08.2010