PathoPic – image database / PathoPic ID 1229 - Hepatozelluläres Karzinom klarzellig : Ovarmetastase

de
Diagnose
Hepatozelluläres Karzinom klarzellig : Ovarmetastase
Diagnose Gruppe
maligner Tumor
Topographie
Ovar
Topographie Gruppe
Genitalorgane, weiblich
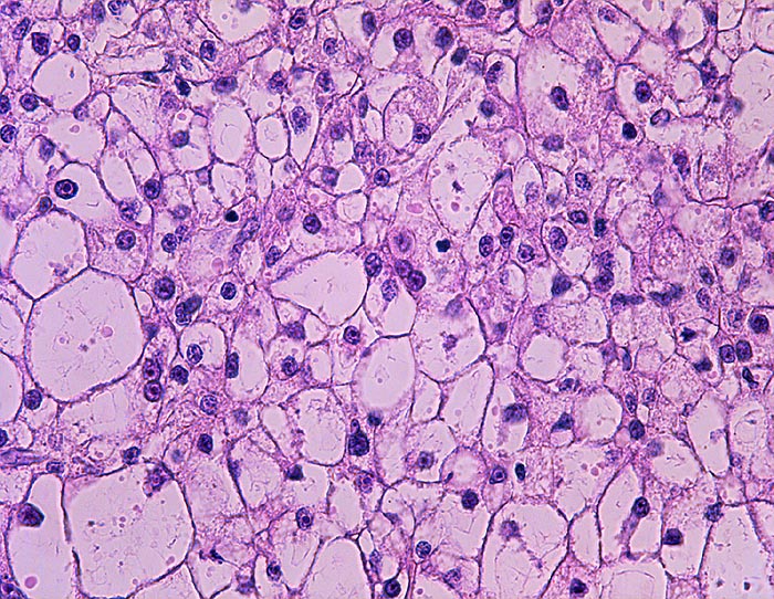
Beschreibung
Bienenwabenartig angeordnete Tumorzellen mit reichlich klarem Zytoplasma.
Zusatzbefund
St.n. Lebertransplantation wegen Hepatozellulärem Karzinom bei Zirrhose und chronischer Hepatitis C vor 2 Jahren. Jetzt Metastasen von 12 und 14cm Durchmesser in beiden Ovarien.
Bilder Typ
Histologie
Alter
55
Geschlecht
unbekannt
Datum
Ersteintrag: 04.12.2001
Update: 10.08.2010