PathoPic – image database / PathoPic ID 1200 - Hepatozelluläres Karzinom

de
Diagnose
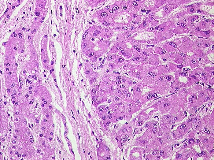
Hepatozelluläres Karzinom
Diagnose Gruppe
maligner Tumor
Topographie
Leber
Topographie Gruppe
Leber, Gallenwege, Pankreas
Beschreibung
Das Tumorgewebe rechts unterscheidet sich von der normalen Leber links durch die Mehrreihigkeit der Zellplatten und vergrösserte Kerne mit prominenten Nukleolen. Der Tumor wächst expansiv und drängt das angrenzende Leberparenchym zur Seite.
Zusatzbefund
Zufallsbefund bei Autopsie: Metastasierendes Hepatozelluläres Karzinom mit Tumorperforation und 3000ml blutigem Aszites. Keine Leberzirrhose.
Bilder Typ
Histologie
Alter
78
Geschlecht
männlich
Datum
Ersteintrag: 04.12.2001