PathoPic – image database / PathoPic ID 1160 - Milchglashepatozyten

de
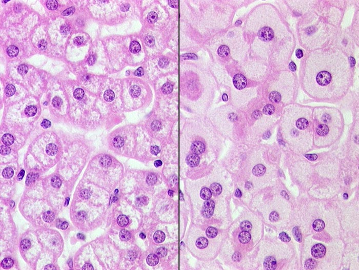
Diagnose
Milchglashepatozyten
Diagnose Gruppe
Entzündung infektiös
Topographie
Leber
Topographie Gruppe
Leber, Gallenwege, Pankreas
Beschreibung
Rechts ein Areal mit Milchglashepatozyten im Vergleich mit dem übrigen Parenchym (linkes Bild). Die pathologischen Leberzellen sind etwas vergrössert, das Zytoplasma ist blass und milchglasartig.
Zusatzbefund
Die Milchglaszellen enthalten HBs Antigen.
Bilder Typ
Histologie
Geschlecht
weiblich
Datum
Ersteintrag: 30.11.2001