PathoPic – image database / PathoPic ID 1158 - HBs Antigen positive hepatitische Leberzirrhose

de
Diagnose
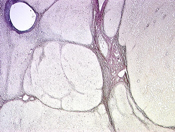
HBs Antigen positive hepatitische Leberzirrhose
Diagnose Gruppe
Entzündung infektiös
Topographie
Leber
Topographie Gruppe
Leber, Gallenwege, Pankreas
Beschreibung
Pseudolobuli ohne Zentralvenen umgeben von Bindegewebe. Kleine braune Punkte in den Pseudolobuli entsprechen Hepatozyten mit HBs Antigen.
Bilder Typ
Histologie
Geschlecht
weiblich
Datum
Ersteintrag: 30.11.2001