PathoPic – image database / PathoPic ID 11378 - Morbus Crohn

de
Diagnose
Morbus Crohn
Diagnose Gruppe
Systemerkrankung/Immunpathologie
Topographie
Ileum terminal
Topographie Gruppe
Darm, Anus
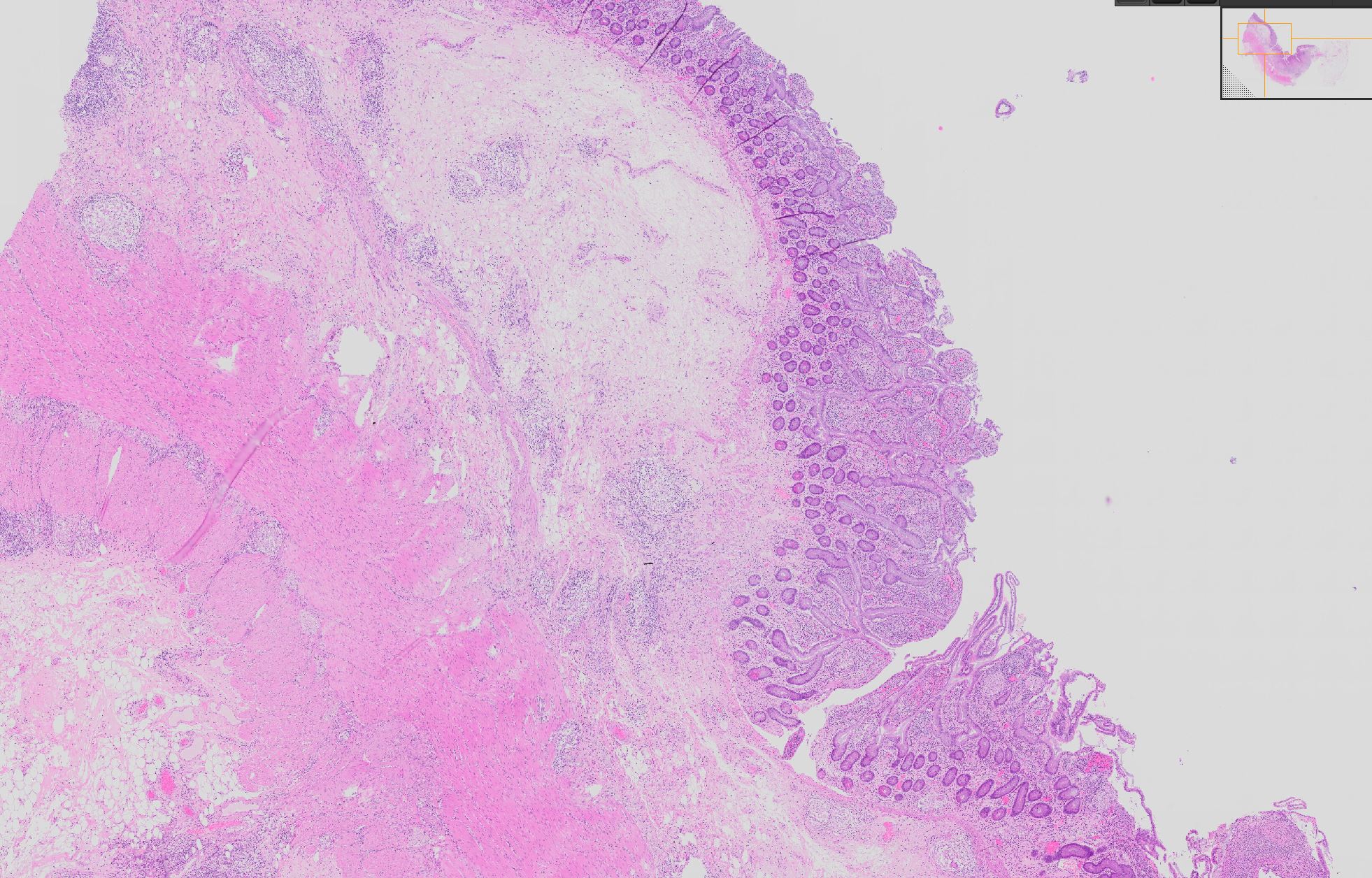
Beschreibung
Abflachung der Dünndarmzotten oder Verplumpung der Dünndarmzotten (=Architekturstörung als Zeichen der Chronizität). 
Zahlreiche  epitheloid-riesenzellige Granulome in allen Wandschichten. 


Zusatzbefund
Klinik
Morbus Crohn des Dünndarms. Status nach Hemikolektomie rechts. Parailealer Abszess. Ileokoloische Resektion.
Kommentar
Bilder Typ
Histologie
Alter
36
Geschlecht
männlich
Datum
Ersteintrag: 10.05.2022
Update: 10.05.2022