PathoPic – image database / PathoPic ID 11367 - Melanoma in situ der Haut

de
Diagnose
Melanoma in situ der Haut
Diagnose Gruppe
maligner Tumor
Topographie
Haut, untere Extremität
Topographie Gruppe
Haut
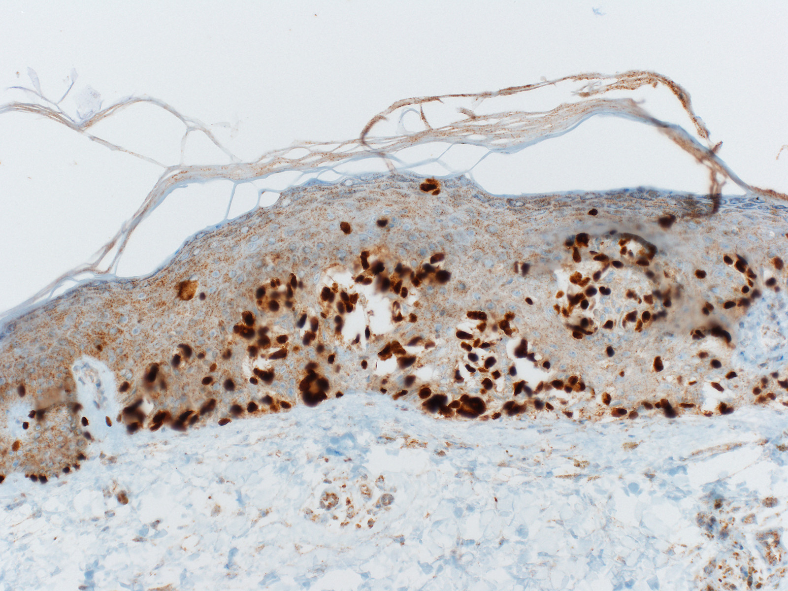
Beschreibung
Die SOX10 Färbung markiert die Zellkerne der intraepidermalen Melanozyten. Es überwiegen Einzelzellinfiltrate und kleine Nester von Melanozyten mit pleomorphen Zellkernen. Die pagetoide intraepiermale Ausbreitung bis in höhere Epidermisschichten ist in dieser Färbung gut erkennbar.
Zusatzbefund
Der Ki-67 Proliferationsindex ist deutlich erhöht und liegt bei ca. 25%. Insbesondere sind auch mehr als 10 % der in der Epidermis aufsteigenden Melanozyten Ki-67 positiv. Diese Befunde sprechen für das Vorliegen eines Melanoma in situ (Am J Surg Pathol, 2014, 38 (8):1111-1117. Suprabasal spread of melanocytes in dysplastic nevi and melanoma in situ. Hall BJ, LeBoit PE).
Klinik
52 jährige Patientin. Atypischer Naevus vom linken Unterschenkel.
Bilder Typ
Histologie
Vergrösserung
200
Alter
52
Geschlecht
unbekannt
Datum
Ersteintrag: 01.09.2015
Update: 20.11.2019