PathoPic – image database / PathoPic ID 1133 - Granulom in der Submukosa bei Morbus Crohn

de
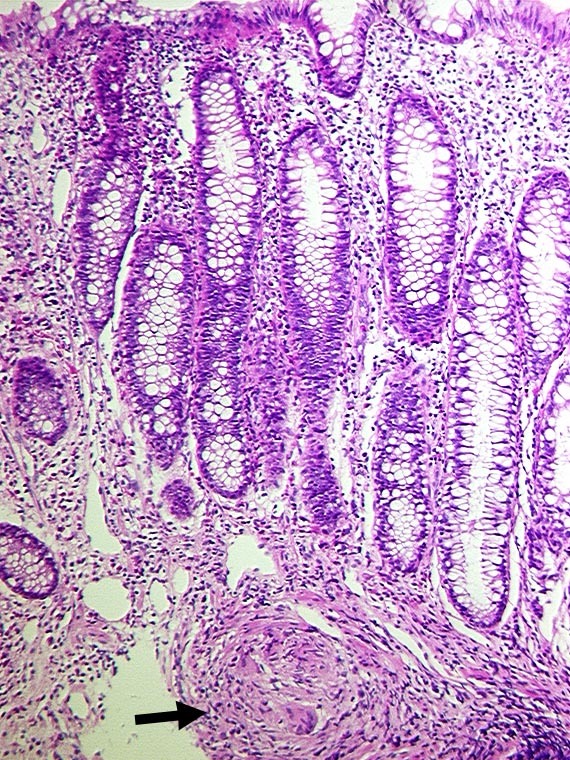
Diagnose
Granulom in der Submukosa bei Morbus Crohn
Diagnose Gruppe
Entzündung / Reparatur
Topographie
Dünndarm
Topographie Gruppe
Darm, Anus
Beschreibung
An dieser Stelle weitgehend unauffällige Mukosa. In der Submukosa ein epitheloidzelliges Granulom mit einer Riesenzelle.
Zusatzbefund
Fokal aktive Entzündung.
Klinik
Bekannter Morbus Crohn seit 8 Jahren.
Bilder Typ
Histologie
Geschlecht
weiblich
Datum
Ersteintrag: 30.11.2001