PathoPic – image database / PathoPic ID 1095 - Sklerosierende Steatohepatitis, partieller zirrhotischer Umbau

de
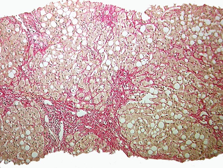
Diagnose
Sklerosierende Steatohepatitis, partieller zirrhotischer Umbau
Diagnose Gruppe
Therapiefolgen
Topographie
Leber
Topographie Gruppe
Leber, Gallenwege, Pankreas
Beschreibung
Grobtropfige Verfettung. Maschendrahtfibrose. Portoportale Septenbildung.
Zusatzbefund
Unvollständiger zirrhotischer Umbau mit portoportaler Septenbildung.
Klinik
Aethylabusus.
Bilder Typ
Histologie
Geschlecht
männlich
Datum
Ersteintrag: 28.11.2001