Pathopic
HiPaKu
ZyPaKu
PathoBasic
PathoBasic Cytology
Quizzes
Projektinfos
PathoPic - Projekt- und Copyright-Info
About
Pathopic
HiPaKu
ZyPaKu
PathoBasic
PathoBasic Cytology
Quizzes
PathoPic – image database
/
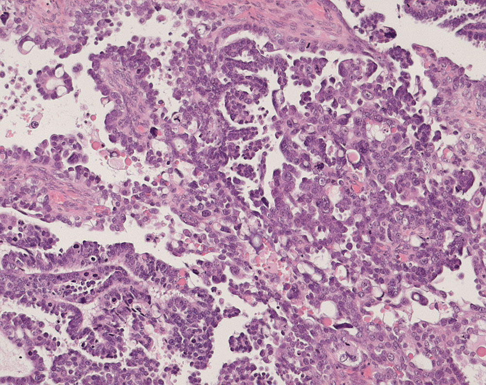
PathoPic ID 10934 - seröses Ovarialkarzinom high grade
de
Diagnose
seröses Ovarialkarzinom high grade
Diagnose Gruppe
maligner Tumor
Topographie
Ovar
Topographie Gruppe
Genitalorgane, weiblich
Beschreibung
Papillärer Tumor bestehend aus stark atypischen und vereinzelt bizarren pleomorphen Tumorzellen mit starken Kerngrössenschwankungen. Mehrere, teils
atypische Mitosen und Apoptosen.
Klinik
Verdacht auf Ovarialkarzinom (CA125 > 2000u/l). CT: Vergrösserte Ovarian beidseits. Maligner Pleuraerguss Adenokarzinom.
Kommentar
-
Bilder Typ
Histologie
Vergrösserung
100
Alter
58
Geschlecht
unbekannt
Datum
Ersteintrag: 10.11.2011
Update: 22.05.2013
CPS
·
©
2024 Institut für Pathologie Basel
/
Dr. med. Katharina Glatz-Krieger
.
·
v2.1