PathoPic – image database / PathoPic ID 109 - Nierenglomeruli mit DIC

de
Diagnose
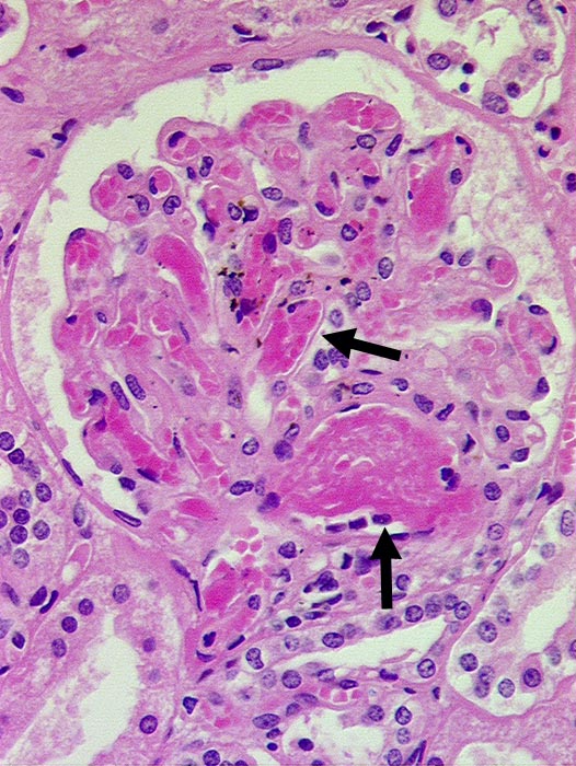
Nierenglomeruli mit DIC
Diagnose Gruppe
vaskulär / Durchblutungsstörung
Topographie
Niere
Topographie Gruppe
Niere, Harnwege
Beschreibung
Die glomerulären Gefässe sind angefüllt mit azellulären Fibrinthromben.
Klinik
Paraneoplastische DIC bei metastasierendem Mammakarzinom
Bilder Typ
Histologie
Alter
47
Geschlecht
unbekannt
Datum
Ersteintrag: 25.10.2001