PathoPic – image database / PathoPic ID 1078 - Amyloidablagerung in Narbe

de
Diagnose
Amyloidablagerung in Narbe
Diagnose Gruppe
Systemerkrankung/Immunpathologie
Topographie
Gelenk, obere Extremität
Topographie Gruppe
Knochen, Knorpel, Gelenke
Beschreibung
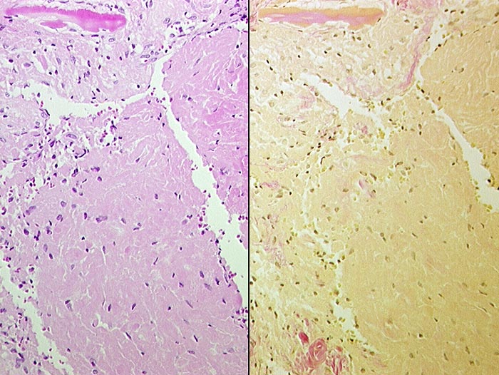
In der HE Färbung links weitgehend azelluläre amorphe Massen färben sich in der van Gieson Färbung gelb an und entsprechen Amyloidablagerungen. Daneben wenig Narbengewebe (rot) und ein avitaler Knochensplitter.
Klinik
Multiples Myelom bekannt seit 4 Monaten. Derber Knoten am Acromioclaviculargelenk.
Kommentar
In Kenntnis der Grundkrankheit handelt es sich am ehesten um eine AL-Amyloidose.
Bilder Typ
Histologie
Alter
68
Geschlecht
unbekannt
Datum
Ersteintrag: 28.11.2001
Update: 25.12.2007