PathoPic – image database / PathoPic ID 1074 - Komplexe Hyperplasie mit Atypie

de
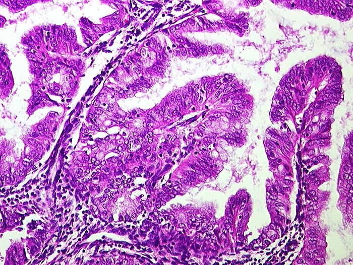
Diagnose
Komplexe Hyperplasie mit Atypie
Diagnose Gruppe
Präneoplasie/ Atypie/ Dignität?
Topographie
Endometrium
Topographie Gruppe
Genitalorgane, weiblich
Beschreibung
Proliferierte Drüsen mit mehrrehigem Epithel und stark reduziertes Stroma. Die proliferierten Drüsen zeigen komplexe architektonische Muster mit papillären und pseudopapillären Epithelaussprossungen. Die Kerne sind abgerundet und vergrössert.
Kommentar
Die Hyperplasie des Endometriums wird eingeteilt in einfache (zystische) und komplexe Hyperplasie mit oder ohne Atypie, wobei die Atypien vor allem bei komplexen Hyperplasien vorkommen. Vor allem die Atypien sind ein Marker für ein erhöhtes Risiko für die Entwicklung eines Adenokarzinoms.
Bilder Typ
Histologie
Alter
59
Geschlecht
unbekannt
Datum
Ersteintrag: 28.11.2001
Update: 10.08.2010