PathoPic – image database / PathoPic ID 107 - Diffuser Alveolarschaden: Hyaline Membranen

de
Diagnose
Diffuser Alveolarschaden: Hyaline Membranen
Diagnose Gruppe
organspezifische Erkrankung
Topographie
Lunge
Topographie Gruppe
Lunge, Mediastinum mit Thymus
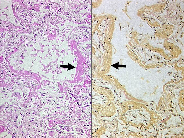
Beschreibung
Links im HE hyaline, auf den Alveolarwänden aufsitzende Membranen. Diese bestehen aus Fibrin (gelb in der van Gieson Färbung rechts).
Klinik
Nahtinsuffizienz mit kotiger Peritonitis zwei Wochen nach Kolonresektion wegen Adenokarzinom.
Bilder Typ
Histologie
Alter
65
Geschlecht
männlich
Datum
Ersteintrag: 24.10.2001
Update: 27.04.2009