PathoPic – image database / PathoPic ID 1059 - Subakute Stauung

de
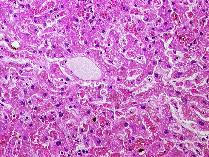
Diagnose
Subakute Stauung
Diagnose Gruppe
vaskulär / Durchblutungsstörung
Topographie
Leber
Topographie Gruppe
Leber, Gallenwege, Pankreas
Beschreibung
In der Mitte eine Zentralvene. Die angrenzenden Sinusoide sind deutlich erweitert und prall gefüllt mit Erythrozyten. Die Leberzellbalken sind leicht verschmälert (Druckatrophie). Die perivenösen Hepatozyten enthalten teilweise braunes Lipofuscinpigment.
Zusatzbefund
In der Bindegewebsfärbung kein vermehrter Fasernachweis rund um die Zentralvene.
Bilder Typ
Histologie
Alter
67
Geschlecht
unbekannt
Datum
Ersteintrag: 28.11.2001