PathoPic – image database / PathoPic ID 1038 - Detritussynovialitis

de
Diagnose
Detritussynovialitis
Diagnose Gruppe
Entzündung / Reparatur
Topographie
Synovialis
Topographie Gruppe
Knochen, Knorpel, Gelenke
Beschreibung
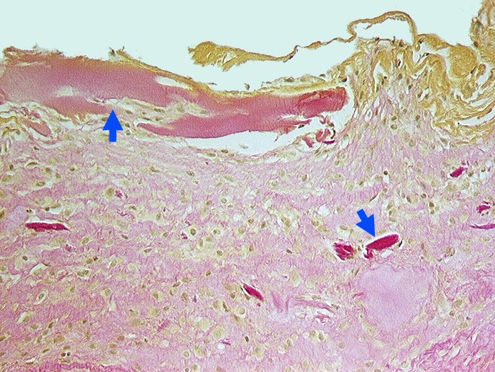
Fibrosierte Synovialis mit gelben Fibrinauflagerungen. Infiltratfreies Stroma mit zahlreichen avitalen Knochenfragmenten.
Klinik
Gonarthrose mit Nekrose der Tibiakondylen.
Bilder Typ
Histologie
Alter
72
Geschlecht
unbekannt
Datum
Ersteintrag: 18.04.2002
Update: 25.12.2007