PathoPic – image database / PathoPic ID 10159 - Multiple Sklerose: subakuter Demyelinisierungsherd des Marks

de
Diagnose
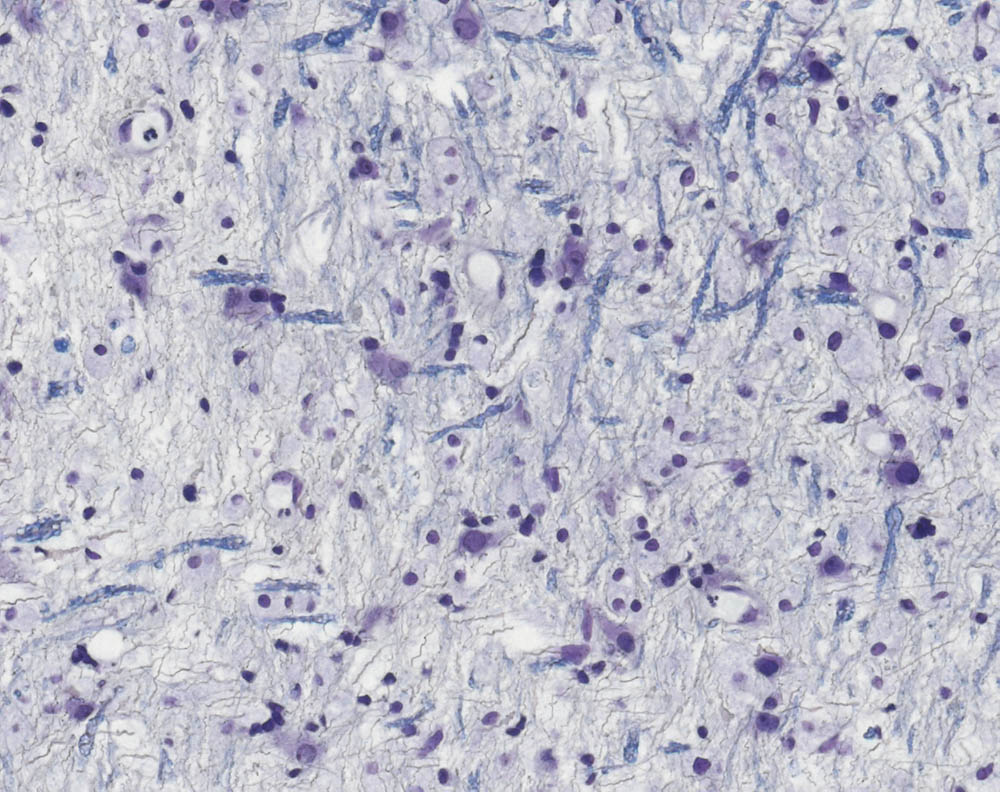
Multiple Sklerose: subakuter Demyelinisierungsherd des Marks
Diagnose Gruppe
Entzündung / Reparatur
Topographie
Hirn parietal
Topographie Gruppe
Nervensystem
Beschreibung
Im Randbereich der Läsion finden sich Marksubstanzanteile, welche in der Holmes-Luxol-Darstellung regelrecht bemarkte Axone zeigen. Die entmarkten Axone sind als feine schwarze Linien erkennbar.
Klinik
Multifokale Marklager-Auffälligkeiten in der T2 gewichteten Magnetresonanztomographie des Schädels. DD: Multiple Sklerose, Tumor.
Bilder Typ
Histologie
Vergrösserung
200
Alter
48
Geschlecht
unbekannt
Datum
Ersteintrag: 10.02.2009
Update: 06.05.2009