Pathopic
HiPaKu
ZyPaKu
PathoBasic
PathoBasic Cytology
Quizzes
Projektinfos
PathoPic - Projekt- und Copyright-Info
About
Pathopic
HiPaKu
ZyPaKu
PathoBasic
PathoBasic Cytology
Quizzes
PathoPic – image database
/
PathoPic ID 10020 - Sarkoidose des Myokards
de
Diagnose
Sarkoidose des Myokards
Diagnose Gruppe
Systemerkrankung/Immunpathologie
Topographie
Herz rechts
Topographie Gruppe
Kardiovaskuläres System
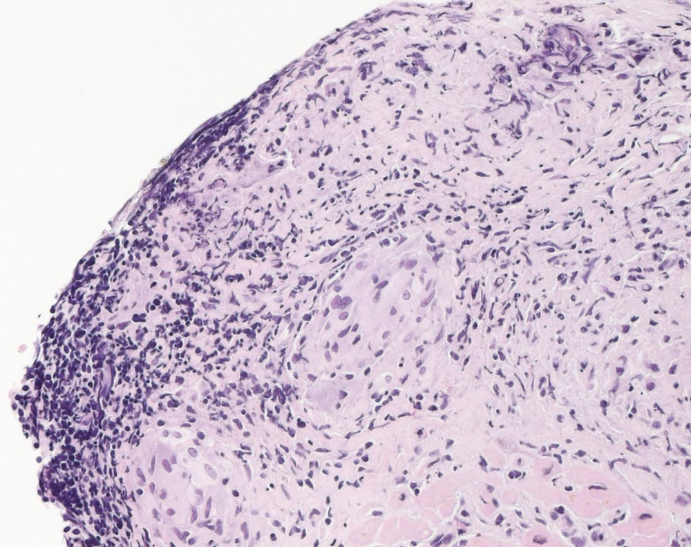
Beschreibung
Endokardiale fibrosierte epitheloidzellige Granulome.
Klinik
AV-Block. Late enhancement in der MRI Untersuchung septal. Keine extrakardiale Sarkoidosemanifestationen. DD Sarkoidose, Myokarditis, andere chronisch entzündliche Erkrankung des Myokards.
Bilder Typ
Histologie
Vergrösserung
200
Alter
40
Geschlecht
unbekannt
Datum
Ersteintrag: 18.11.2008
Update: 07.05.2009
CPS
·
©
2024 Institut für Pathologie Basel
/
Dr. med. Katharina Glatz-Krieger
.
·
v2.1