AP/ Primäre Myelofibrose (PMF)

Diagnose
Primäre Myelofibrose (PMF)
Diagnose Gruppe
maligner Tumor
Differenzialdiagnose
Topographie Gruppe
Lymphatische Gewebe, KM, Milz
Topographie
Knochenmark, Beckenkamm
Einleitung
Histogenese:
Die primäre Myelofibrose (PMF) gehört zu den myeloproliferativen Neoplasien und ist eine klonale Erkrankung einer pluripotenten hämatopoietischen Stammzelle.

Genetik:
50-60% der PMF weisen eine Punktmutation im JAK2-Gen auf.

Morphologie:
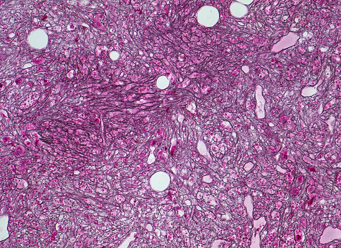
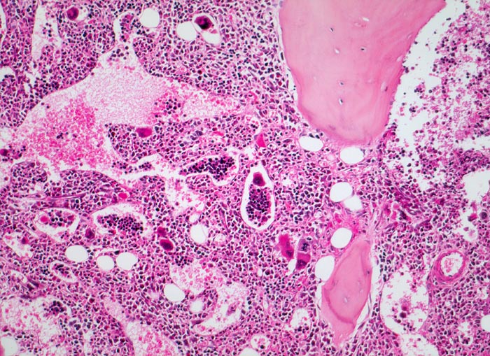
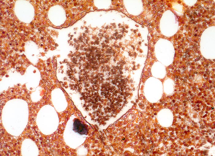
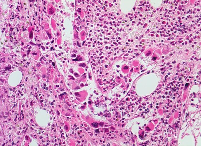
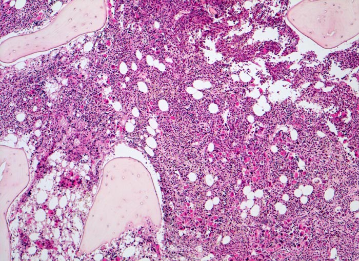
Die Erkrankung ist charakterisiert durch Knochenmarkfibrose, Hepato-Splenomegalie und extramedulläre Blutbildung. Diese findet sich am häufigsten in Leber und Milz, seltener in Lymphknoten, Nieren, Nebennieren, Dura mater, Gastrointestinaltrakt, Lunge, Mamma oder Haut. Blut und Knochenmark sind immer involviert. Die Krankheit entwickelt sich über ein initiales präfibrotisches Stadium mit hyperzellulärem Knochenmark zum fibrotischem Stadium (vorliegendes Präparat). Das fibrotische Stadium ist gekennzeichnet durch eine Vermehrung von Reticulin- und/oder Kollagenfasern und oft einer Knochenneubildung (=Osteomyelosklerose). Die Zellularität des Knochenmarks ist dann vermindert und dilatierte Marksinus enthalten intraluminale Blutbildungsherde. Es besteht eine auffallende Proliferation von Gruppen bildenden atypischen Megakaryozyten.

update 30. August 2012
Klinik
Vorkommen:
Die primäre Myelofibrose hat eine Inzidenz von 0.5 bis 1.5 Fällen pro 100`000 Einwohner pro Jahr. Die Erkrankung tritt am häufigsten in der 7. Dekade auf. Sie ist selten bei Kindern.

Symptomatik:
30% der Patienten sind bei Diagnosestellung asymptomatisch. Oft führt die vergrösserte Milz, eine Anämie oder Thrombozytose zur Diagnose. Mögliche Symptome sind Müdigkeit, Dyspnoe, Gewichtsverlust, Nachtschweiss, Fieber und Blutungen. Gicht oder Nierensteine können als Folge der Hyperurikämie auftreten. Eine oftmals massive Splenomegalie besteht bei 90% der Patienten, eine Hepatomegalie bei 50%. Hauptgründe für Morbidität und Mortalität sind Knochenmarkinsuffizienz (Infekte, Blutungen), Thromboembolien, portale Hypertonie, Herzversagen und die Entwicklung einer akuten Leukämie (meist myeloische Zellreihe).

Diagnostik:
Blutausstriche zeigen unreife Zellen: sogenanntes leukoerythroblastisches Blutbild (Zeichen extramedullärer Blutbildung). Die Knochenmarkspunktion ist aufgrund der starken Fibrose erschwert (Punctio sicca).

Therapie:
Tyrosinkinase-Hemmer (gegen JAK2) führen zu einer Verbesserung der Symptome im fibrotischen Stadium. Bei Hypersplenismus oder störender Raumforderung ist eine Splenektomie indiziert. Aus unbekanntem Grund ist das Risiko für eine blastäre Transformation nach Splenektomie grösser. Allopurinol hilft gegen die Hyperurikämie. Bei jüngeren Patienten sollte die Indikation einer allogenen Knochenmarktransplantation geprüft werden.

update 30. August 2012
Morphologie
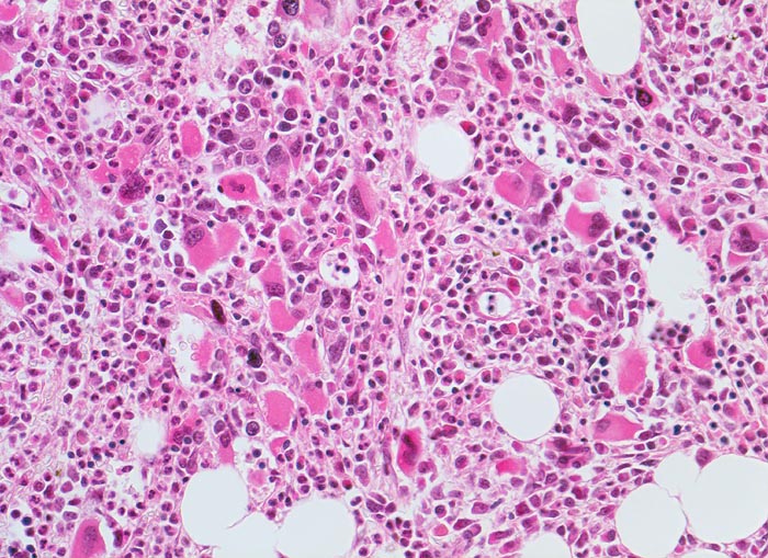
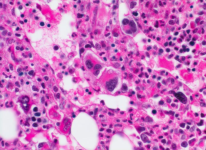
Morphologische Merkmale:
  • Osteosklerose: verplumpte und breite Knochenbälkchen.
  • Kollagenfibrose.
  • Dilatierte Sinusoide mit intrasinusoidaler Blutbildung.
  • Vermehrung von atypischen, in Gruppen liegenden Megakaryozyten mit abnorm lobulierten Kernen.
  • Nacktkernige (zytoplasmaarme) und vergrösserte Megakaryozyten.
  • Hyperplastische ausreifende Myelopoese.
  • Hypoplastische Erythropoese.
  • Retikulinfaserfibrose des Marks vorhanden aber in der HE Färbung schwierig quantifizierbar.
Das sollte der Kliniker dem Pathologen mitteilen:
  • Ausmass der Organomegalie (Hepato-Splenomegalie)
  • Blutbild
  • Befund der Aspirationszytologie (häufig Punctio sicca)
  • Genetische Untersuchungen (JAK2)
  • Hämatologische Vorerkrankungen
  • Vorbiopsien


update 30. August 2012
Makroskopie
Virtuelles Präparat
Befund
Pathologischer Befund
Normalbefund
Datum
Ersteintrag: 04.11.2018
Update: 04.11.2018