AP/ Osteoporose, normaler Knochen

Diagnose
Osteoporose, normaler Knochen
Diagnose Gruppe
Hypoplasie/ Involution/ Atrophie
Differenzialdiagnose
Topographie Gruppe
Knochen, Knorpel, Gelenke
Topographie
Knochen, Wirbelsäule
Einleitung
Definition:
Als Osteoporose wird ein Knochensubstanzverlust bezeichnet, welcher das alterungsbedingte physiologische Ausmass (ca. 1% Verlust pro Jahr ab dem 35. Lebensjahr) übertrifft, mit Störungen der Mikroarchitektur einhergeht und zu einer erhöhten Frakturneigung führt. Im fortgeschrittenen Stadium können vor allem im Bereich der Wirbelsäule Frakturen spontan und ohne adäquates Trauma auftreten. Häufig sind auch Schenkelhalsfrakturen und Radiusfrakturen.

Aetiologie:
Man unterscheidet folgende Formen der Osteoporose: postmenopausale Osteoporose, senile Osteoporose, juvenile Osteoporose und sekundäre Osteoporose (bei Frauen bis zu 30%, bei Männern bis zu 50%!). Die häufigsten Gründe für eine sekundäre Osteoporose sind Hypogonadismus, Langzeit-Kortisontherapie, Neoplasien, Alkoholabusus, entzündlich-rheumatische Erkrankungen, chronische entzündliche Darmerkrankungen oder eine Hyperthyreose.

Morphologie:
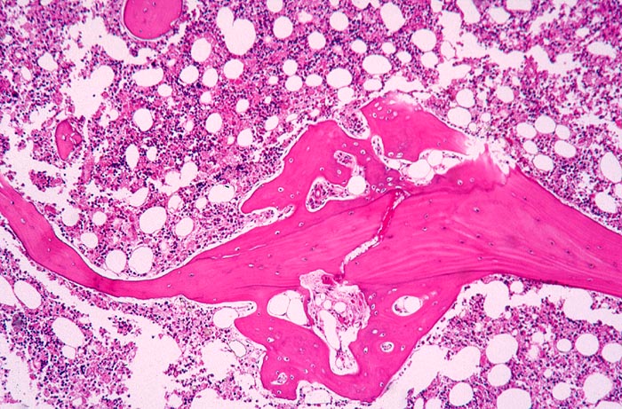
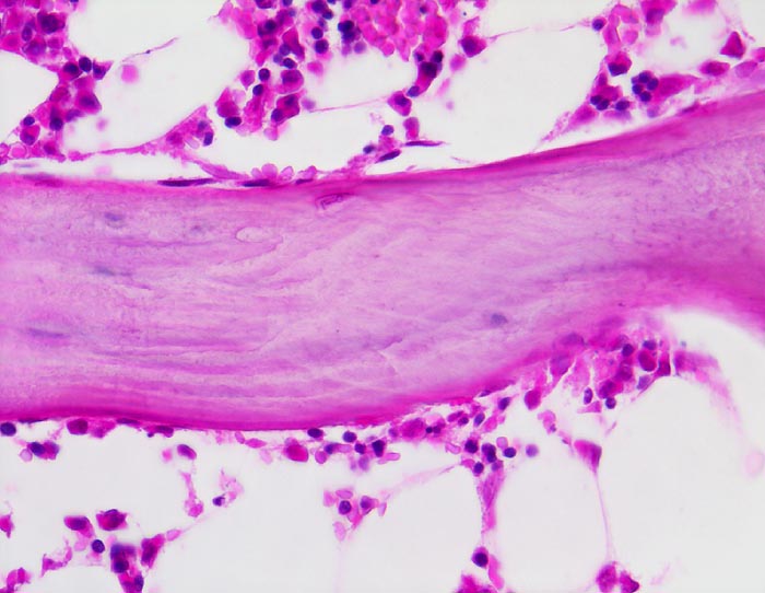
Makroskopisch fällt eine Rarefizierung der Spongiosa und eine erhöhte Maschenweite des Bälkchengerüstes auf (Röntgenbild: Verminderung der Knochendichte erst ab etwa 30% Knochenmasseverlust sichtbar!). Die Rarefizierung betrifft zunächst die weniger stark druckbelasteten Bälkchen (in den Wirbelkörpern die horizontalen Trabekel). Oft finden sich multiple Kompressionsfrakturen der Wirbelkörper mit Fischwirbelbildung. Histologisch sind eine Verschmälerung der Kompakta und verminderte Vernetzung der verdünnten Spongiosabälkchen sowie Mikrokallusbildungen (> 3286) nachweisbar.

update 5.9.2018
Klinik

Vorkommen:
Etwa jede 3. Frau und jeder 7. Mann erleidet im Laufe des Lebens eine osteoporotische Fraktur.

Risikofaktoren:
Wichtigste Risikofaktoren für osteoporotische Frakturen:

  • niedrige Knochendichte,

  • bereits aufgetretene Frakturen,

  • osteoporotische Frakturen bei Verwandten ersten Grades,

  • niedriges Körpergewicht (BMI<19kg/m²)

  • Nikotinabusus.

    Therapie:
    Osteoporoseprophylaxe:

  • kalziumreiche Ernährung,

  • köperliche Aktivität,

  • Meiden von Nikotin und Alkohol,

  • postmenopausale Hormonsubstitution (für die Behandlung einer bestehenden Osteoporose meist ungenügend).

Als antiresorptive Medikamente können Bisphosphonate und RANKL-Antagonisten eingesetzt werden. Bei etablierter Osteoporose sollte versucht werden, das Sturzrisiko verringern.

update 5.9.2018

Morphologie
Morphologische Merkmale:
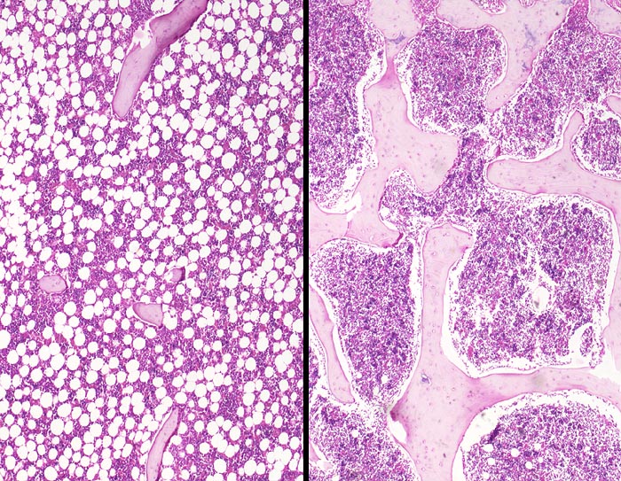
  • Linker Wirbelkörper mit Osteoporose, rechts ein normaler Wirbelkörper zum Vergleich.
  • Deutliche Rarefizierung und Atrophie vor allem der horizontalen Spongiosabälkchen.
  • Hochgradige Reduktion der intertrabekulären Vernetzung.
  • Reaktiv hyperplastisches blutbildendes Mark.
Das sollte der Kliniker dem Pathologen mitteilen:
  • Gründe für die Osteoporose.
  • Störung des Kalzium-Phosphathaushaltes.
Makroskopie
Befund
Pathologischer Befund
Normalbefund
Datum
Ersteintrag: 10.07.2019
Update: 06.09.2019