Pathopic
HiPaKu
ZyPaKu
PathoBasic
PathoBasic Cytology
Quizzes
Projektinfos
PathoPic - Projekt- und Copyright-Info
About
Pathopic
HiPaKu
ZyPaKu
PathoBasic
PathoBasic Cytology
Quizzes
AP/ Myokardamyloidose
Diagnose
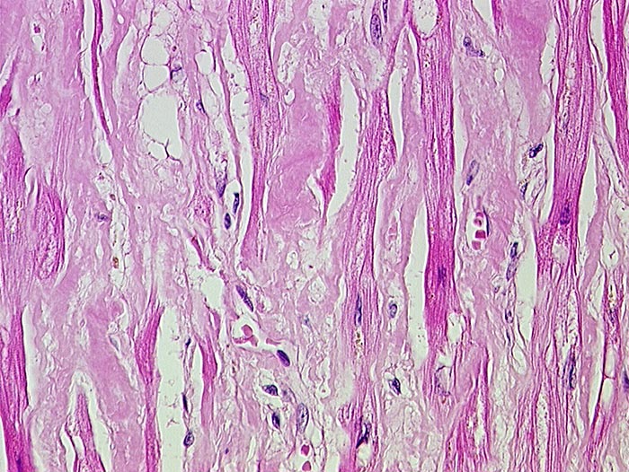
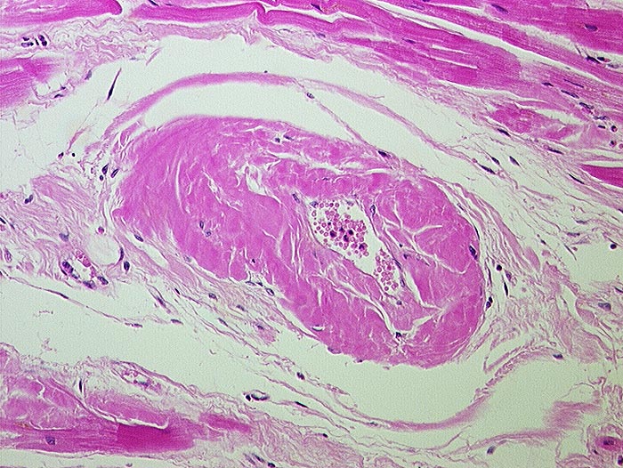
Myokardamyloidose
Diagnose Gruppe
Systemerkrankung/Immunpathologie
Differenzialdiagnose
Topographie Gruppe
Kardiovaskuläres System
Topographie
Herz links
Einleitung
-
Klinik
-
Normalbefund
Herz
Morphologie
-
Makroskopie
Virtuelles Präparat
Befund
Pathologischer Befund
Normalbefund
Literatur
Datum
Ersteintrag: 14.01.2010
Update: 14.01.2010
CPS
·
©
2024 Institut für Pathologie Basel
/
Dr. med. Katharina Glatz-Krieger
.
·
v2.1