Pathopic
HiPaKu
ZyPaKu
PathoBasic
PathoBasic Cytology
Quizzes
Projektinfos
PathoPic - Projekt- und Copyright-Info
About
Pathopic
HiPaKu
ZyPaKu
PathoBasic
PathoBasic Cytology
Quizzes
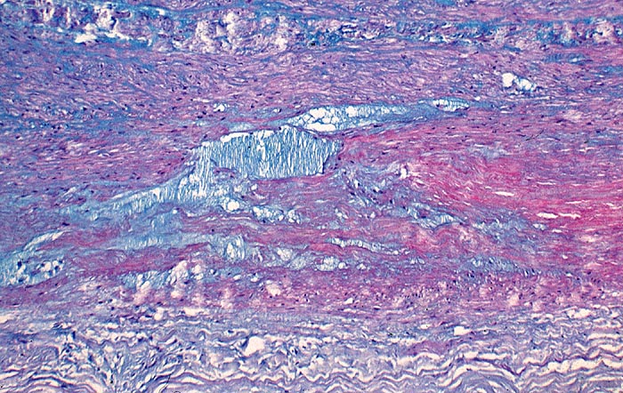
AP/ Zystische Mediadegeneration (Medianekrose)
Diagnose
Zystische Mediadegeneration (Medianekrose)
Diagnose Gruppe
angeboren /genetisch/Missbildung
Differenzialdiagnose
Topographie Gruppe
Kardiovaskuläres System
Topographie
Aorta
Einleitung
-
Klinik
-
Normalbefund
Aorta
Morphologie
-
Makroskopie
Virtuelles Präparat
Befund
Pathologischer Befund
Normalbefund
Literatur
Datum
Ersteintrag: 14.01.2010
Update: 14.01.2010
CPS
·
©
2024 Institut für Pathologie Basel
/
Dr. med. Katharina Glatz-Krieger
.
·
v2.1