l/ bcl-2

Diagnose
bcl-2
Diagnose Gruppe
Differenzialdiagnose
Topographie Gruppe
Topographie
Einleitung
bcl-2
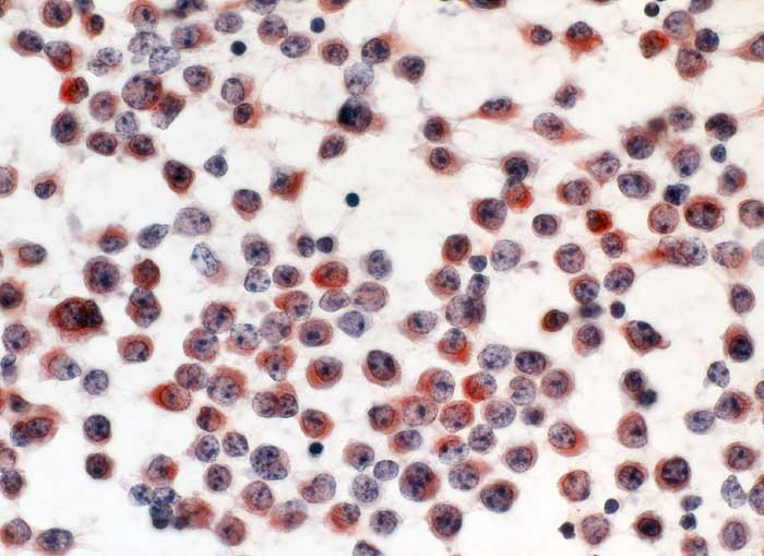
Anfärbung:
Zytoplasma
Reaktion im Normalgewebe:
Das bcl-2 Protein ist ein Apoptose Inhibitor. Bcl-2 wird von kleinen Lymphozyten der normalen Mantelzone und von vielen T-Zellen exprimiert. Normale und reaktive Keimzentren sind negativ für bcl-2. Viele Zellen im Thymusmark aber nur wenige in der Thymusrinde exprimieren bcl-2.
Reaktion in Neoplasien:
Bcl-2 wird in 85% der follikulären Lymphome und 20% der diffusen grosszelligen B-Zell Lymphome exprimiert.
Bcl-2 ist ausserdem in folgenden Tumoren häufig positiv:
  • kleinzellige B-Zell Lymphome
  • Solitärer fibröser Tumor
  • Synovialsarkom
  • Neurofibrom
  • Schwannom
  • Hämangioperizytom
  • Kaposi Sarkom
  • Nasopharyngeales Karzinom
Diagnostischer Nutzen:
Unterscheidung des follikulären Lymphoms von einer reaktiven follikulären Hyperplasie: In reaktiven Keimzentren sind lediglich einzelne T Zellen positiv. Die Keimzentren follikulärer Lymphome sind diffus bcl-2 positiv. Bcl-2 eignet sich jedoch nicht zur Unterscheidung verschiedener Lymphome voneinander, da zahlreiche kleinzellige B-Zell Lymphome bcl-2 exprimieren.
Eine bcl-2 Expression ist assoziiert mit einer besseren Prognose bei vielen Karzinomen. Es besteht eine inverse Beziehung zur p53 Überexpression.
Der Grad einer zervikalen intraepithelialen Neoplasie korreliert invers mit dem Anteil bcl-2 positiver Zellen.
Klinik
-
Normalbefund
Morphologie
Makroskopie
Virtuelles Präparat
Befund
Pathologischer Befund
Normalbefund
Literatur
Datum
Ersteintrag: 13.04.2003
Update: 13.04.2003