l/ CD1a

Diagnose
CD1a
Diagnose Gruppe
Differenzialdiagnose
Topographie Gruppe
Topographie
Einleitung
CD1a
Anfärbung:
Zytoplasma
Reaktion im Normalgewebe:
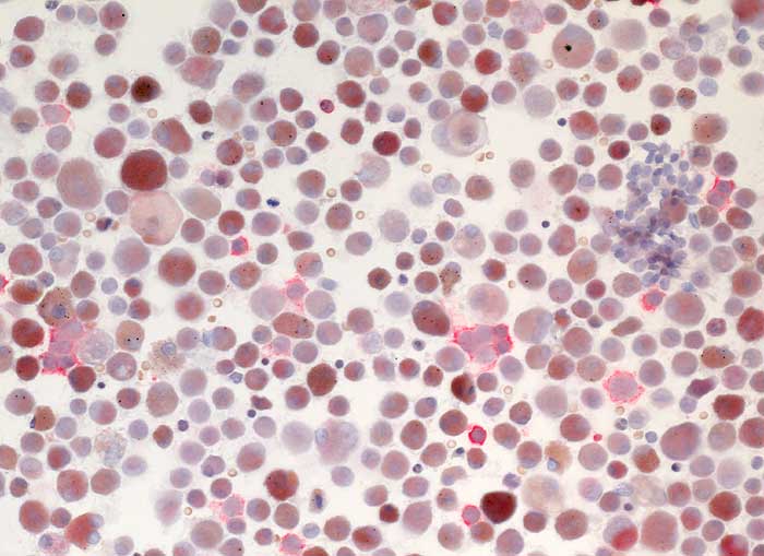
CD1a wird von einer Reihe von Antigen-präsentierenden Zellen exprimiert. Unter anderem Langerhanszellen und interdigitierende Reticulumzellen. 70% aller Thymozyten sind CD1a positiv, nicht aber frühe Thymozyten oder ausgereiften Thymozyten
Reaktion in Neoplasien:
Precursor T-ALL positiv. Post thymische T-CLL, Sezary Syndrom, kutanes T-Zell Lymphom und nodale T-Zell Lymphome negativ.
Diagnostischer Nutzen:
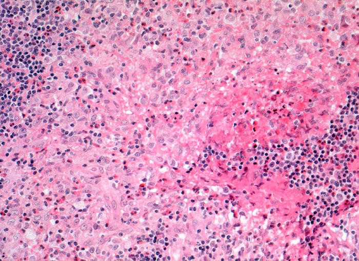
Identifikation einer Langerhanszellhistiozytose.
CD1a ist positiv in kortikalen Thymomen.
Klinik
-
Normalbefund
Morphologie
Makroskopie
Virtuelles Präparat
Befund
Pathologischer Befund
Normalbefund
Literatur
Datum
Ersteintrag: 13.04.2003
Update: 13.04.2003