p/ Kleinzelliges Bronchuskarzinom

Diagnose
Kleinzelliges Bronchuskarzinom
Diagnose Gruppe
maligner Tumor
Differenzialdiagnose
Topographie Gruppe
Weichteile
Topographie
Mediastinum
Einleitung
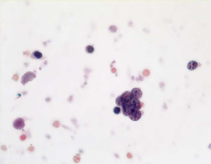
Die Tumorzellen des kleinzelligen Karzinoms erscheinen in der Übersicht eher einförmig. Bei stärkerer Vergrösserung zeigt sich aber eine deutliche Polymorphie. Die Kerne sind rundlich, eckig oder spindelig und je nach Erhaltungszustand mehr oder weniger hyperchromatisch. Der Kernhintergrund ist dunkel und das Chromatin fein dispers. Nukleolen sind meist unscheinbar. Plumpe grosse Nukleolen sprechen eher für ein grosszellig neuroendokrines Karzinom, dessen Morphologie im Übrigen mit derjenigen des kleinzelligen Karzinoms überlappt. Die Abgrenzung von einem Lymphom oder aktivierten Lymphozyten kann schwierig sein.
Klinik
-
Normalbefund
Morphologie
Makroskopie
Virtuelles Präparat
Befund
Pathologischer Befund
Normalbefund
Literatur
Datum
Ersteintrag: 01.04.2003
Update: 01.04.2003