n/ Creolakörperchen

Diagnose
Creolakörperchen
Diagnose Gruppe
Entzündung / Reparatur
Differenzialdiagnose
Topographie Gruppe
Lunge, Mediastinum mit Thymus
Topographie
Bronchialsekret
Einleitung
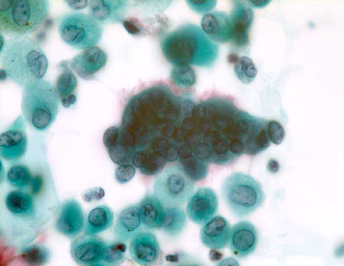
Creolakörperchen sind desquamierte abgerundete Verbände hypertrophischer Becher- und Flimmerzellen, die bei Asthmatikern und chronischer Bronchitis beobachtet werden können. Die Kerne sind vergrössert aber nicht atypisch. Die Präsenz von Flimmerhaaren oder einer Cuticula beweist ihre Gutartigkeit. Diese Merkmale sind jedoch nicht immer gut erkennbar und können zu Verwechslungen mit Karzinomzellen führen. Das erste Bild zeigt ein Creolakörperchen neben einem Karzinomzellverband zum Vergleich.
Klinik
-
Normalbefund
Morphologie
Makroskopie
Virtuelles Präparat
Befund
Pathologischer Befund
Normalbefund
Literatur
Datum
Ersteintrag: 01.04.2003
Update: 01.04.2003