n/ Churg Strauss Vaskulitis

Diagnose
Churg Strauss Vaskulitis
Diagnose Gruppe
Entzündung / Reparatur
Differenzialdiagnose
Topographie Gruppe
Lunge, Mediastinum mit Thymus
Topographie
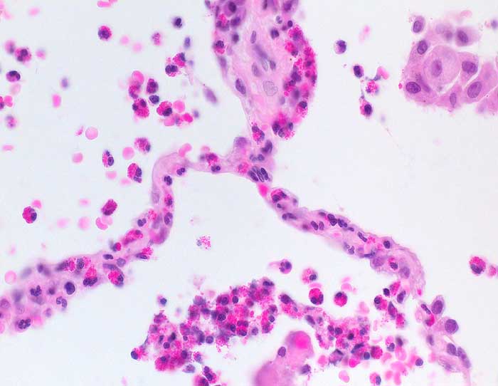
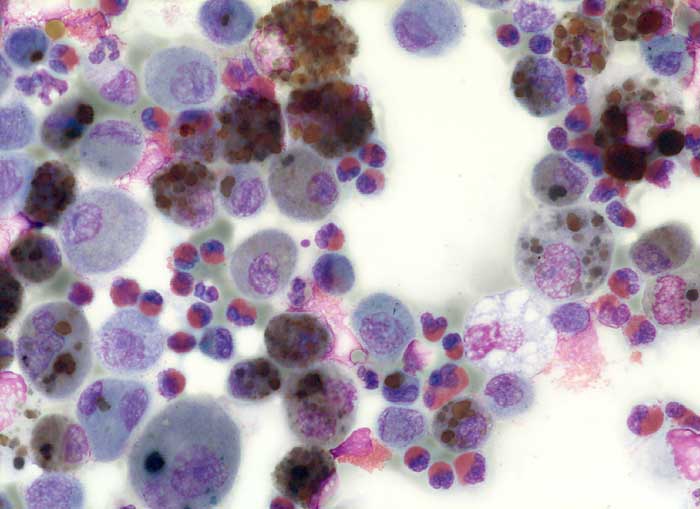
Broncho-alveoläre Lavage
Einleitung
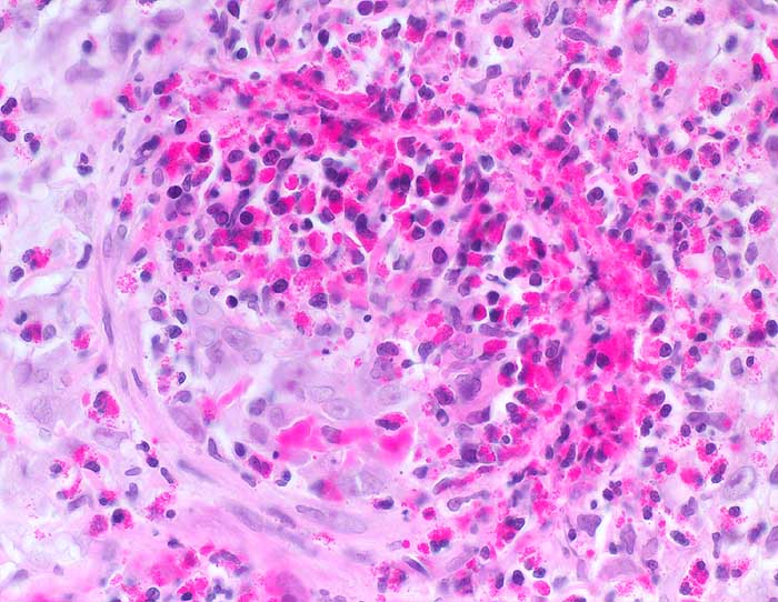
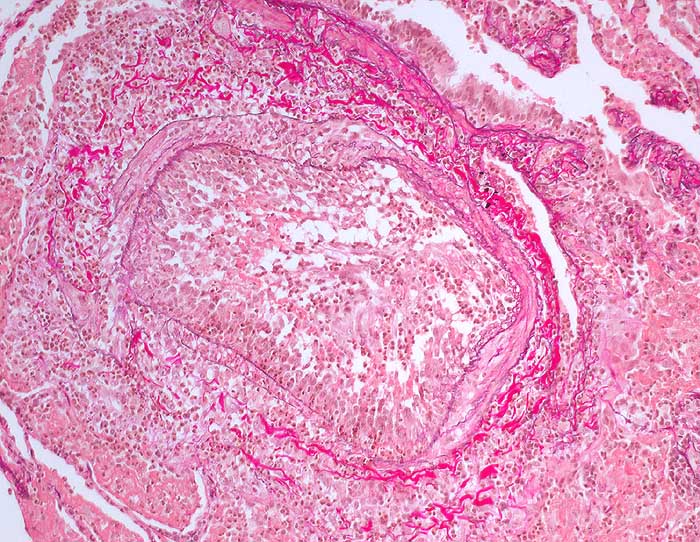
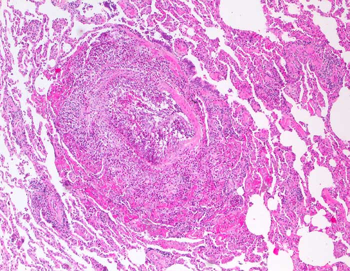
Die zytologischen Veränderungen bei der Churg Strauss Vaskulitis entsprechen den Veränderungen bei allergischem Asthma bronchiale. Im Vordergrund steht eine massive Vermehrung eosinophiler Granulozyten. Histologisch findet sich zusätzlich eine nekrotisierende eosinophile Vaskulitis.
Klinik
-
Normalbefund
Morphologie
Makroskopie
Virtuelles Präparat
Befund
Pathologischer Befund
Normalbefund
Literatur
Datum
Ersteintrag: 01.04.2003
Update: 01.04.2003