n/ Maligner Pleuraerguss: duktales Mammakarzinom

Diagnose
Maligner Pleuraerguss: duktales Mammakarzinom
Diagnose Gruppe
maligner Tumor
Differenzialdiagnose
Topographie Gruppe
Körperhöhlen, Serosa
Topographie
Pleuraerguss Zytologie
Einleitung
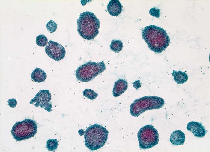
Kugelige Verbände im Pleuraerguss, die eine Blickdiagnose des Mammakarzinoms erlauben, kommen bevorzugt bei drüsig differenzierten Karzinomen vor. Die kugeligen Verbände sind im Innern teils hohl, teils solide gebaut. Die randständigen Zellen sind abgeflacht oder kubisch. Entrundung der Kerne und feine Einkerbungen der Kernmembran sind abgesehen von der typischen Lagerung im kugeligen Verband die wichtigsten Malignitätskriterien.
Klinik
-
Normalbefund
Morphologie
Makroskopie
Virtuelles Präparat
Befund
Pathologischer Befund
Normalbefund
Literatur
Datum
Ersteintrag: 24.03.2003
Update: 24.03.2003