n/ Pleuritis tuberculosa

Diagnose
Pleuritis tuberculosa
Diagnose Gruppe
Entzündung infektiös
Differenzialdiagnose
Topographie Gruppe
Körperhöhlen, Serosa
Topographie
Pleuraerguss Zytologie
Einleitung
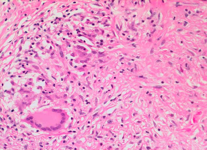
Die Pleuritis tuberculosa ist eine Manifestation der hämatogenen Streuung bzw. der Miliartuberkulose. Charakteristisch für die Tuberkulose ist der rein lymphozytäre Erguss. Die Lymphozyten bilden einen monomorphen Rasen und lassen keine Atypien erkennen. Der Anteil Mesothelzellen liegt nicht über 0.2%. Neutrophile Granulozyten, Epitheloidzellen und Langhans-Riesenzellen findet man beim tuberkulösen Empyem, nicht aber bei der miliaren Pleuratuberkulose. Der direkte Nachweis von Mykobakterien verläuft immer negativ. Am ehesten gelingt der Nachweis der tuberkulösen Genese mittels Pleurabiopsie, seltener durch Kultur.
Rein lymphozytäre Ergüsse kommen auch bei Sarkoidose, Brucellose, Tularämie, chronischer lymphatischer Leukämie und Pleurakarzinose vor. Die Unterscheidung von der Sarkoidose muss aufgrund klinischer Befunde erfolgen.
Klinik
-
Normalbefund
Morphologie
Makroskopie
Virtuelles Präparat
Befund
Pathologischer Befund
Normalbefund
Literatur
Datum
Ersteintrag: 12.04.2003
Update: 12.04.2003