g/ HSIL: mittelschwere Dysplasie des Plattenepithels

Diagnose
HSIL: mittelschwere Dysplasie des Plattenepithels
Diagnose Gruppe
Präneoplasie/ Atypie/ Dignität?
Differenzialdiagnose
Topographie Gruppe
Mamma
Topographie
Portio
Einleitung
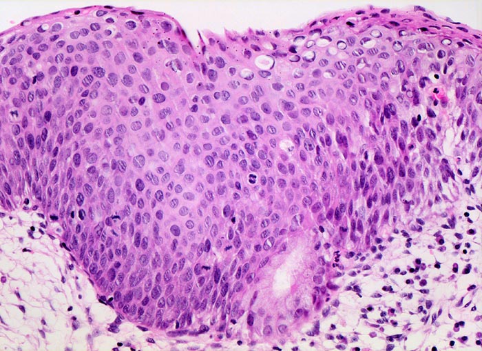
Die mittelschwere Dysplasie, die schwere Dysplasie und das Carcinoma in situ werden in der Bethesda Klassifikation eingeteilt als high grade squamous intraepithelial lesion (HSIL). Die zytoplasmatische Ausreifung der mässig dysplastischen Zellen entspricht dem Intermediär- bis Parabasalzelltyp. Die Kerne sind grösser als bei der leichten Dysplasie und stärker anfärbbar. Die Entrundung ist ebenfalls stärker ausgeprägt und häufiger vorhanden. Das Kernchromatin ist leicht bis mässig vergröbert und noch regelmässig verteilt. Einzelne Chromozentren können vorkommen. Die Kernmembran ist gelegentlich eingekerbt.
Die zytologischen Bilder stammen von vier verschiedenen Patientinnen.
Klinik
-
Normalbefund
Morphologie
Makroskopie
Virtuelles Präparat
Befund
Pathologischer Befund
Normalbefund
Literatur
Datum
Ersteintrag: 02.04.2003
Update: 02.04.2003