g/ Follikuläre Zervizitis

Diagnose
Follikuläre Zervizitis
Diagnose Gruppe
Entzündung / Reparatur
Differenzialdiagnose
Topographie Gruppe
Mamma
Topographie
Portio
Einleitung
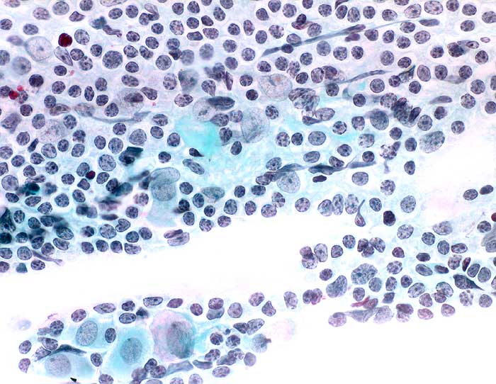
Möglicherweise besteht bei dieser speziellen Form der Zervizitis eine Assoziation mit Chlamydieninfektionen. Die Entzündung ist durch ein dichtes lymphozytäres Infiltrat mit grossen Follikeln und hyperplastischen Keimzentren charakterisiert. Die Ausstriche enthalten entsprechend zahlreiche einzeln liegende kleine und grosse Lymphozyten, Keimzentrumszellen und Kerntrümmermakrophagen. Die Entzündungszellen kommen bevorzugt im endozervikalen Abstrich vor, wo sie im Zervixschleim typische Zellstrassen bilden.
Klinik
-
Normalbefund
Morphologie
Makroskopie
Virtuelles Präparat
Befund
Pathologischer Befund
Normalbefund
Literatur
Datum
Ersteintrag: 01.04.2003
Update: 01.04.2003