g/ Maligner Müllerscher Mischtumor des Ovars

Diagnose
Maligner Müllerscher Mischtumor des Ovars
Diagnose Gruppe
maligner Tumor
Differenzialdiagnose
Topographie Gruppe
Mamma
Topographie
Ovar
Einleitung
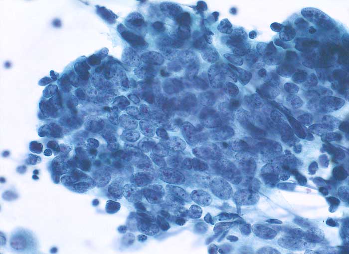
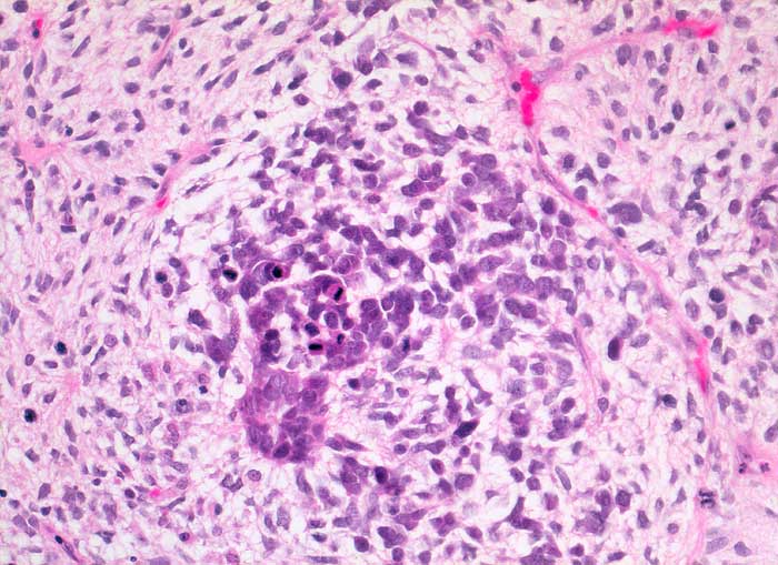
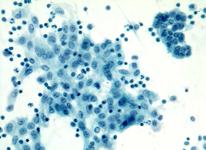
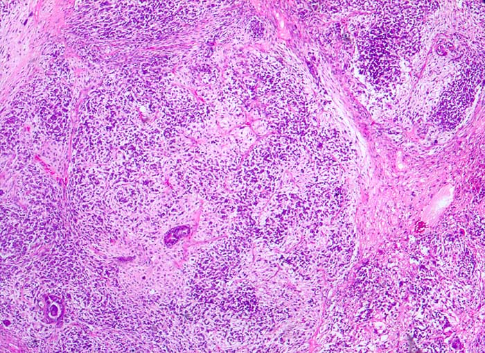
Müllersche Mischtumoren bestehen aus einer epithelialen und einer mesenchymalen Komponente. Die epitheliale Komponente ist in der Regel ein Adenokarzinom. Die Sarkomkomponente kann homolog (Leiomyosarkom, Stromasarkom, Fibrosarkom) oder heterolog (Rhabdomyosarkom, Chondrosarkom...) sein also nicht aus ortsständigem Mesenchym entstammend. Am häufigsten treten diese Tumoren im Uteruscavum auf. Sie können aber auch in anderen Lokalisationen des Genitaltrakts vorkommen. Die Ausstriche enthalten ein buntes Zellbild mit deutlich atypischen Zellen. Wenn neben Karzinomzellen auch atypische mesenchymale Zellen vorhanden sind, kann zytologisch die Diagnose eines malignen Müllerschen Mischtumors gestellt werden.
Klinik
-
Normalbefund
Morphologie
Makroskopie
Virtuelles Präparat
Befund
Pathologischer Befund
Normalbefund
Literatur
Datum
Ersteintrag: 01.04.2003
Update: 01.04.2003