Basel 2BA/ Subakuter transmuraler Myokardinfarkt

Diagnose
Subakuter transmuraler Myokardinfarkt
Diagnose Gruppe
vaskulär / Durchblutungsstörung
Topographie Gruppe
Kardiovaskuläres System
Topographie
Herz links
Einleitung
Morphologie:
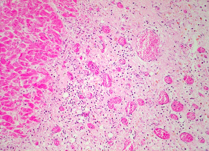
Vier Tage nach Infarktereignis beginnt vom Rand her die Einwanderung von Granulationsgewebe in das Infarktgebiet. Das Granulationsgewebe besteht aus Makrophagen, Lymphozyten, Plasmazellen, Kapillarsprossen und Fibroblasten. Der Granulationsgewebssaum vergrössert sich um rund 0.1mm pro Tag. Die Breite des Randsaums erlaubt deshalb eine Abschätzung des Infarktalters. In der zweiten Woche nach Infarkt lassen sich im Granulationsgewebe histologisch die ersten zarten Kollagenfasern nachweisen. Von einem subakuten Myokardinfarkt spricht man, wenn der Infarkt ein Alter von mindestens 10 Tagen erreicht hat. Makroskopisch imponiert der subakute Infarkt als gelbe Nekrose mit peripherem rotem eingesunkenem Randsaum aus Granulationsgewebe von mindestens 1mm Breite. Da Infarkte von der Peripherie her organisiert werden, müsste ein 1cm dicker transmuraler Infarkt innert rund 50 Tagen vollständig organisiert und narbig umgewandelt sein. Nicht selten verbleiben jedoch noch nach mehreren Monaten nicht organisierte zentrale Infarktreste, weil die Organisation vom Subendokard her verzögert erfolgt und nur träge fortschreitet.

Ausdehnung des Infarktes:
Grundsätzlich sind zwei Infarkttypen zu unterscheiden: der transmurale Infarkt, der mehr als die Hälfte der gesamte Dicke der Ventrikelwand betrifft und im Versorgungsbereich einer okkludierten Koronararterie liegt sowie der nichttransmurale Innenschichtinfarkt, der sich auf das Subendokard bzw. die innere Hälfte der Ventrikelwand beschränkt und aus disseminierten kleineren Nekrosebezirken besteht. Innenschichtinfarkte sind meist nicht auf eine frische Arterienokklusion zurückzuführen, sondern auf eine vorübergehende Mangeldurchblutung beispielsweise bei Hypotonie (Schockzustand, Anämie, Operation am offenen Herzen...) oder prolongierter Hypoxämie und gleichzeitig bestehender hochgradiger Koronarstenose. Subendokardiale Innenschichtinfarkte sieht man ausserdem nach
update 30. August 2014
Klinik
Therapie:
In den letzten Jahren hat sich die Frühmobilisation nach Myokardinfarkt durchgesetzt. Maßgebend ist immer der individuelle Zustand des Patienten, Konstitution, Trainingszustand sowie Schweregrad und Verlauf des Infarktes. Risikofaktoren für die Atherosklerose sollten mit dem Patienten in der Rehabilitationsphase besprochen und deren Modifikation eingeleitet werden. Besonderen Wert ist zu legen auf den Verzicht auf das Rauchen, medikamentöse Kontrolle von arterieller Hypertonie und Hyperlipidämie, richtige Ernährung und regelmässige physische Betätigung.

Prognose:
Die Prognose nach Myokardinfarkt ist besser bei früher Reperfusion.
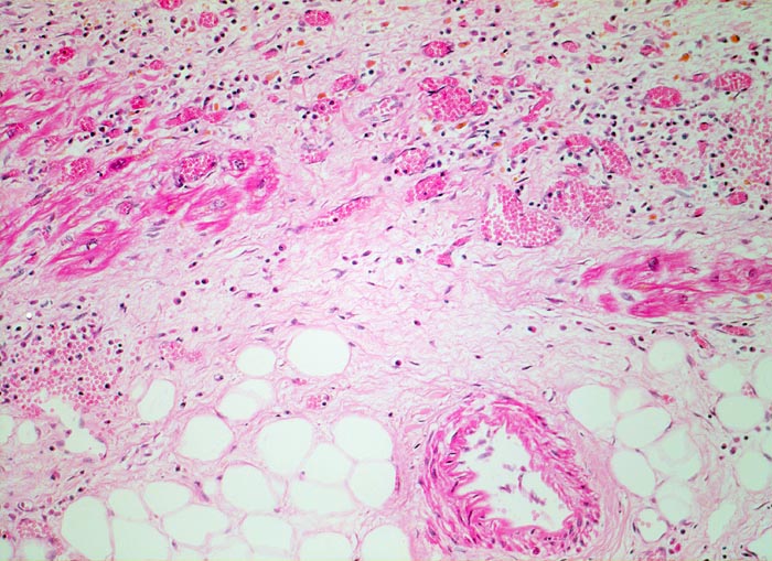
Morphologie
Morphologische Merkmale:
  • Transmuraler Schnitt der linken Herzkammer. Oben: epikardiales Fettgewebe. Unten: Trabekel ausgekleidet von Endokard.
  • Unmittelbar subendokardial erhaltenes vitales Myokard.
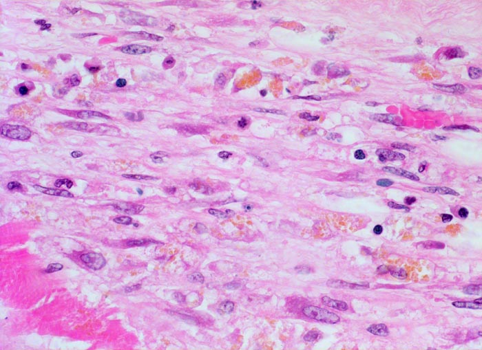
  • Koagulationsnekrose (Hypereosinophilie, fehlende oder abgeblasste Zellkerne) ohne granulozytäres Entzündungsinfiltrat.
  • Die Koagulationsnekrose wird auf allen Seiten gesäumt von einem breiten Granulationsgewebssaum mit Gefässen, Entzündungszellen (v.a. Makrophagen mit gelbbraunem Siderinpigment und Lipofuszinpigment, wenig Lymphozyten und Plasmazellen) und Fibroblasten.
  • Subepikardial helleres vitales Myokard mit erhaltenen Zellkernen.
  • Koagulationsnekrose und Granulationsgewebssaum machen mehr als 50% der Herzwanddicke aus (=transmuraler Infarkt).
Das sollte der Kliniker dem Pathologen mitteilen:
  • Abgelaufener Myokardinfarkt (Zeitpunkt).

update 21. August 2014
Befund
Pathologischer Befund
Normalbefund
Datum
Ersteintrag: 15.03.2019
Update: 15.03.2019